Safely And Effectively Whiten Your Smile With Whitening – We Recommend Whitening


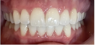
Whitening your teeth is one of the quickest and easiest ways to improve your smile. There are a lot of ways to whiten your teeth. For best results, consult with Dr. Hicken first about your options. Whitening works differently for everyone. We can help determine the best method for you.
How Main Plaza Dental Helps: We Whiten Your Smile In A Safe, Customizable Way
Our Colgate Whitening system is a great option that can help get your teeth up to eight shades whiter in as little as one visit. It’s the #1 patient requested professional whitening treatment because it not only works, it works really well. The system is supervised by our team and is safe and customizable. It makes use of desensitizers to reduce sensitivity and protect tooth enamel and has intensity settings that can be adjusted to ensure your comfort.
Come Get The Smile Of Your Dreams
Our team is dedicated to making your smile the best it can be. If you live in Spanish Fork, Utah, or Provo, Utah or the surrounding area and you want a whiter, more beautiful smile that’s a pleasure to show off, give us a call at (801) 794-9684 to schedule a consultation.